Оставить заявку
Услуги Врачам Пациентам Партнёрство Новости О компании Прайс-лист Контакты Личный кабинет врача Город
Город Прайс-лист Контакты Личный кабинет врача
Онлайн заявка
Услуги Врачам Пациентам Партнёрство Новости О компании
Новости Мероприятия
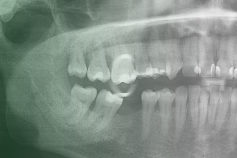
Клинический случай. Эндодонтия
01 апреля 2020
Изменения в режиме работы. Апрель
30 марта 2020
Лицензия, г. Москва
20 марта 2020
Клинический случай. Имплантология
16 марта 2020
Клинический случай. Эндодонтия
03 марта 2020
Лиценция, г. Южно-Сахалинск
28 февраля 2020
Загрузить больше
01 07 08 09
Voxel
  • О компании
  • Врачам
  • Партнёрство
  • Контакты
  • Услуги
Клиентам
  • Наши услуги
  • Прайс-лист
  • Новости
  • Мероприятия
  • Консультация
Врачам
  • Наши услуги
  • Прайс-лист
  • Новости
  • Личный кабинет
  • Партнёрство
Соц. сети
Vkontakte YouTube Одноклассники
Контакты
Адрес центра
2026 © Voxel - независимый рентген-диагностический центр Политика конфиденциальности
Записаться онлайн
Выберите свой город
Выберите ближайший рентген центр
Ваша заявка
принята!

В скором времени наш
менеджер свяжется с вами,
оставайтесь на связи

Прекрасно